友情链接:
全球 10% 人口受慢性肾病威胁
终末期患者只能靠透析续命或苦等肾源
但现在
我们可能找到新出路了


清华大学医学院再生医学专家李教授指出
最新发表在《Biofabrication》的研究
用微流控生物打印技术把干细胞变成了
“活的肾零件”

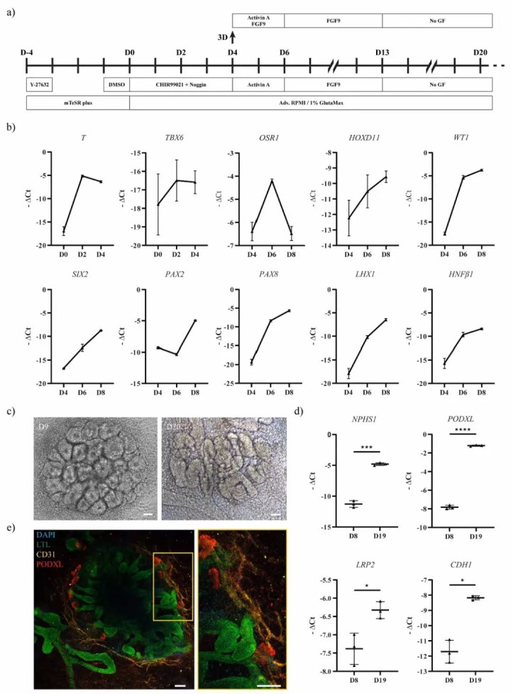
MM类器官的生成与表征

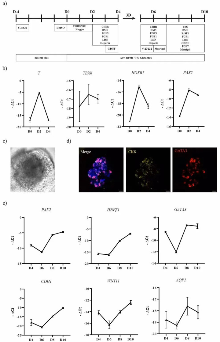
UB类器官的生成与表征
核心突破
两种细胞 + 3D打印造
“迷你肾”
先把人类诱导多能干细胞
分化成肾的两种
“母细胞”

生物打印MM+UB祖细胞触发类器官形成及功能研究
(后肾间充质 + 输尿管芽细胞)
用类似“挤奶油”的微流控技术
裹上生物墨水制成核心
壳结构细丝
细胞存活率超 90%
培养两周就长出肾小球、肾小管,
能过滤营养还会对肾毒性药物“喊疼”

为什么这技术能颠覆肾病治疗
解决供体短缺:
不用等别人捐肾,
自己细胞就能造“替代品”
药物筛选提速:
新药是否伤肾
直接用 “人造肾” 测试
比动物实验准 10 倍
自动化生产:
机器打印保证每个
“肾零件”
质量一致
批量生产不是梦

00 后怎么看?
这技术火了
以后换肾像换手机零件
要是能打印其他器官
是不是连体检都能省了
蹲一个十年内临床应用

我先存个干细胞当‘备件’
Z世代医疗科技观察员小林

(转发提醒:你身边有被肾病困扰的人吗?这项技术或许就是他们的曙光)

